Bienvenido a Cruz Dental

Tu clínica dental de confianza

Sobre nosotros

Cuidado dental de calidad para toda tu familia

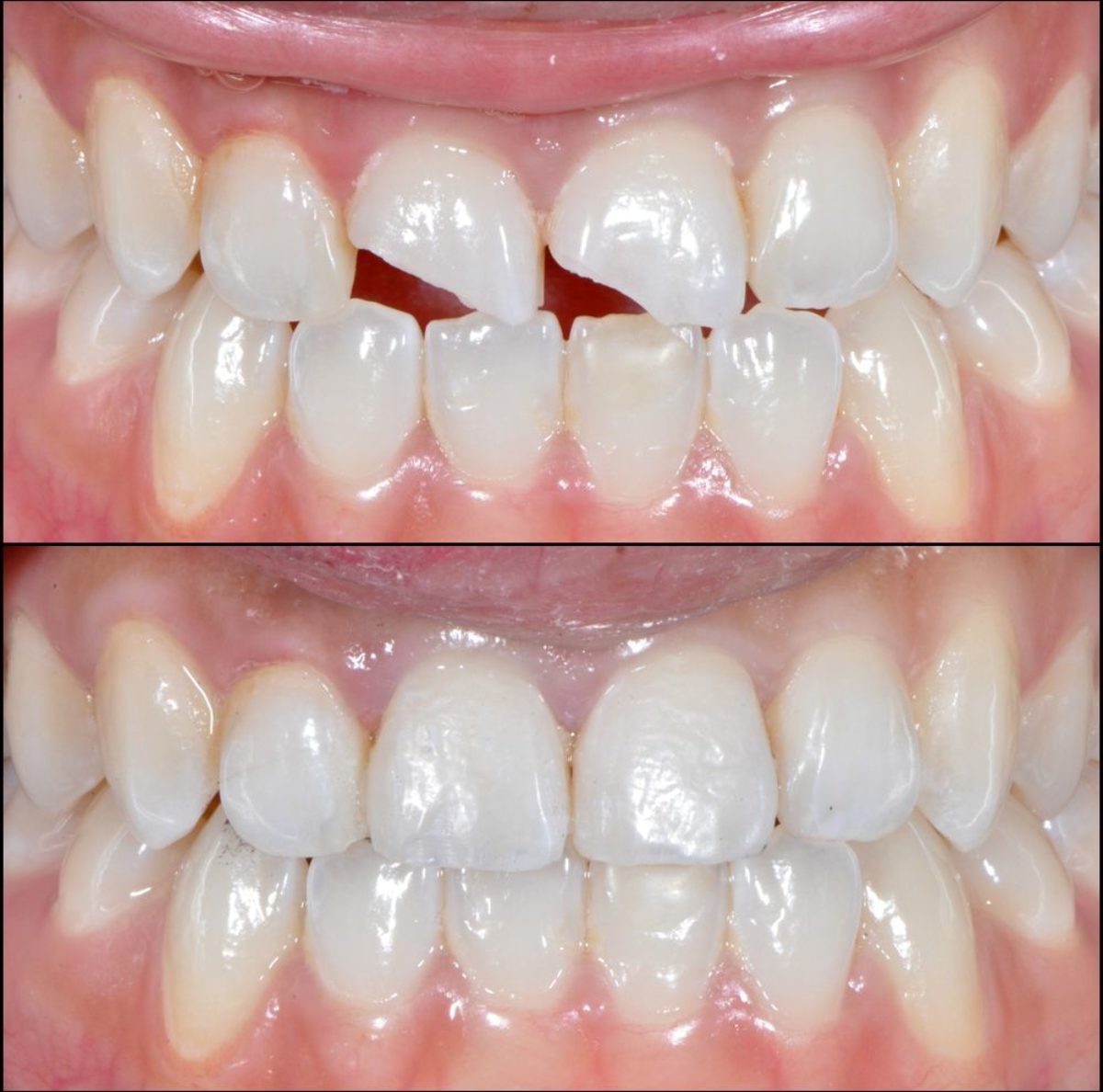
En Clínica Cruz Dental contamos con un equipo de profesionales comprometidos con la salud bucal de nuestros pacientes. Con más de 17 años de experiencia, ofrecemos diversos tratamientos dentales, especializándonos en ortodoncia. Nuestro objetivo es brindar atención de calidad en un ambiente profesional y confiable.

Servicios

Excelente Servicio

Agendar cita

¡Agenda tu cita aquí!

En Cruz Dental cuidamos tu sonrisa con atención profesional y tratamientos modernos. Agenda tu consulta fácilmente con nuestro sistema de citas.

Agendar Cita
Appointment Illustration

Contáctanos

J.B. Chapa #800 Esq./Zaragoza Zona Centro, Reynosa, Tamaulipas C.P. 885000 | 899 140 5707 | 899 117 4426 | 899 244 1606 | lizabethcruzaguilera94@gmail.com

Siguenos en Facebook

© Cruz Dental. Todos los derechos reservados.